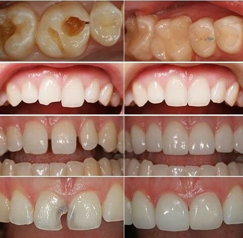
Là quá trình sử dụng những loại cao kết dính có độ an toàn tuyệt đối lấp đầy những răng sâu, bị hỏng, giúp bạn sở hữu hàm răng đẹp mà không cần phải sử dụng đến phương pháp nhổ răng, thay răng giả hoàn toàn.

Trám răng được thực hiện theo các bước:
1. Dùng 1 loại dung dịch axit nhẹ thoa lên vị trí răng cần phục hồi (Etching).
2. Phủ một lớp keo tạo độ dính (Bonding).
3. Trám bằng Composite từng lớp mỏng, điêu khắc miếng trám theo đúng hình dáng của răng.
4. Chiếu đèn quang trùng hợp đề Composite và răng tạo thành một khối đồng nhất.
5. Làm nhẵn bề mặt và đánh bóng miếng trám để giữ độ bền miếng trám với răng.





