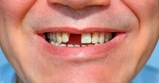
Vùng răng cửa là vùng răng thẩm mỹ quan trọng, khi bị gãy vỡ sẽ gây ảnh hưởng rất nhiều đến thẩm mỹ, phát âm cũng như tâm lý. Nếu rơi vào trường hợp này, ai cũng rất muốn khắc phục nhanh chóng và hiệu quả.

- Hậu quả của việc mất răng cửa
Theo các bác sĩ chuyên khoa răng hàm mặt, việc mất răng cửa sẽ gây ra các hậu quả như sau.
- Gây mất thẩm mỹ trầm trọng: Mất răng cửa gây mất thẩm mỹ, khiến người bị gãy răng cảm thấy tự ti trong giao tiếp, làm giảm chất lượng sống.
- Hạn chế khả năng ăn nhai
- Hạn chế khả năng phát âm
- Các cách phục hồi vùng răng cửa hiệu quả nhất
- Bọc răng sứ: Trường hợp áp dụng khi phần mô răng còn lại có thể phục hồi, tái tạo và vẫn còn khả năng đảm bảo các chức năng.
Lợi ích: Giải quyết tình trạng mất răng của bệnh nhân, mang lại kết quả thẩm mỹ và chức năng nhanh chóng, tiết kiệm chi phí.
- Cầu răng sứ: Trường hợp áp dụng là khi đây là giải pháp được chỉ định khi bệnh nhân đã phải nhổ bỏ răng hỏng do phần răng còn lại quá ít, không đủ để làm trụ cho mão sứ.
Lợi ích: Giải quyết tình trạng mất răng của bệnh nhân, mang lại kết quả thẩm mỹ và chức năng nhanh chóng, tiết kiệm chi phí.
- Cấy ghép răng implant: Trường hợp áp dụng khi là giải pháp được chỉ định cho bệnh nhân đã phải nhổ bỏ răng hỏng do phần răng còn lại quá ít, không đủ để làm trụ cho mão sứ; hay trường hợp bệnh nhân không muốn can thiệp các răng kế cận để làm cầu sứ. Lợi ích của phương pháp này không chỉ phục hồi thẩm mỹ và chức năng, cấy ghép implant còn mang lại cho người bệnh một kết quả toàn diện.