Kiến thức - chia sẻ

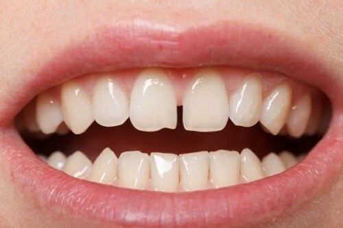
Có thể chỉnh răng thưa không?

nha-khoa
nha-khoa
nha-khoa

Có thể chỉnh răng thưa không?

Có thể chỉnh răng thưa không?

Thứ năm, 12/09/2019 | 04:36
Theo thống kê mới nhất, khoảng 90% dân số Việt Nam mắc gặp vấn đề răng miệng. Trong đó, vấn đề răng thưa là trường hợp không ít người gặp phải.

1. Răng thưa có ảnh hưởng như thế nào?

Răng thưa có rất nhiều nỗi khổ mà chỉ những người gặp phải mới có thể hiểu được. Dưới đây là một số tác hại của răng thưa, có thể kể đến như:

  • Gây mất thẩm mỹ: Tác hại đầu tiên của tình trạng răng thưa đó chính là gây mất thẩm mỹ, đặc biệt đối với răng cửa thưa. Những người gặp vấn đề này thường không thể cười và nói chuyện tự tin trong giao tiếp.
  • Làm biến dạng khung xương hàm, khuôn mặt: Răng thưa gây ra tình trạng lệch khớp cắn, ảnh hưởng xấu đến cấu trúc của khung xương hàm. Lâu dài, chúng còn có thể làm biến dạng khung xương và ảnh hưởng xấu đến khuôn mặt.
  • Gây ra các vấn đề răng miệng: Răng thưa thường khiến thức ăn dễ dắt vào kẽ răng. Tình trạng này cũng khiến bạn thường xuyên gặp các vấn đề về răng miệng như: sâu răng, viêm nhiễm, hôi miệng.

Ngoài ra, theo quan niệm dân gian, người răng cửa thưa lời thường không thể giữ bí mật, gây ra nhiều chuyện thị phi, khả năng quản lý chi tiêu và nắm giữ tài chính rất kém. Bên cạnh đó, những người có hàm răng thưa thường gặp rất nhiều khó khăn trong con đường sự nghiệp, họ phải cố gắng và nỗ lực nhiều hơn người khác thì mới có thể đạt được thành công.

Tuy nhiên, đây chỉ là những lời nói truyền tai nhau từ thời xa xưa, không có bất cứ tài liệu nào chứng minh. Theo quan điểm của khoa học hiện đại, hàm răng thưa hoàn toàn không gây ảnh hưởng đến tính cách cũng như vận mệnh của con người. Bởi thực tế cho thấy, có rất nhiều người sở hữu hàm răng thưa nhưng họ vẫn sống rất hòa đồng và chân thật, cũng như gặt hái rất nhiều thành công trong cuộc sống.

2. Có thể chữa răng thưa được không?

Đối với câu hỏi: “Có thể chữa răng thưa được không?”, tất nhiên câu trả lời là CÓ. Hiện nay, có rất nhiều phương pháp thẩm mỹ răng cho bạn một nụ cười tự tin, rạng rỡ và khắc phục được tình trạng răng thưa. Đặc biệt, với những trường hợp răng thưa quá nặng đến nỗi làm cho hàm răng xấu xí, mất thẩm mỹ hoặc gây ra những bệnh răng miệng thì bệnh nhân càng nên thẩm mỹ răng.

Bạn có thể thẩm mỹ răng sứ, niềng, hàn trám để khắc phục tình răng thưa của mình. Mỗi phương pháp có ưu nhược điểm, chi phí và thời gian điều trị khác nhau. Tùy vào độ thưa, khả năng tài chính và quỹ thời gian của bạn mà bác sĩ sẽ khuyên bạn nên sử dụng phương pháp nào.

Để được Khám răng và Tư vấn trực tiếp (miễn phí) xin vui lòng đến :

Nha Khoa BẢO NHA

Địa chỉ : 288 - 290 Cao Thắng, Phường 12, Quận 10, TPHCM

HOTLINE : 094.499.9888